На главную страницу
На главную

 
 
О журнале Архив Содержание

(Новости лучевой диагностики 2002 1-2: 74-76)

Туберозный склероз.

Сакович Р. А. 1, Чиж Г. В. 2

1Республиканская клиническая психиатрическая больница, 2БелМАПО.

Туберозный склероз (ТС) — полисистемное генетическое заболевание, которое проявляется бугорковоподобными разрастаниями в веществе головного мозга, а также в других жизненно важных органах: коже, почках, глазах, легких, сердце, костях. Заболевание врожденное, длится на протяжении всей жизни. Частота распространения 1 на 7–10 тысяч человек.

ТС был впервые описан Recklinghausen в 1862 году. В 1880 году Bourneville детализировал выявляемые патологические данные и впервые применил термин туберозный склероз. Bourneville описал данную нозологию как «туберозный склероз церебральных волокон». Данные патологические изменения он выявил у 15 летней девочки, страдавшей эпилепсией, имевшей кожные проявления, а также снижение интеллекта.

ТС наследуется по аутосомно-доминантному типу с различной пенентрантностью; как спонтанная мутация встречается в 60-70% случаев (ни один из родителей не имеет ТС); при наличии ТС у одного из родителей — вероятность ТС у ребенка составляет 50 %. Генетические исследования выявили два гена ТС:
- TSC1 — хромосома 9 — открыт в 1987 году,
- TSC2 — хромосома 16 — открыт в 1992 году.

Исследователи полагают, что протеин туберин, который в норме подавляет опухолевый рост в организме, недостаточно вырабатывается у больных ТС.

Клинические проявления.

В зависимости от степени вовлечения в патологический процесс различных органов и систем тяжесть течения заболевания может широко варьировать. Типичными симптомами ТС является триада:
1. Эпилепсия. Частота встречаемости эпилептических припадков у пациентов с ТС колеблется от 70 до 90% (по данным различных источников). Могут иметь место различные типы эпилептических припадков: · Инфантильные спазмы, тонически клонические, тонические, акинетические, миоклонические, атипичные; в некоторых случаях возможно формирование эпилептического статуса. Отмечается, что эпилептические припадки наблюдаются у всех больных с нарушением интеллекта, и у 70% пациентов без нарушений.
2. Интеллектуальное снижение. Большинство пациентов имеют проблемы с развитием интеллекта. Умственная отсталость зависит от степени поражения корковых центров, наличия сопутствующих аномалий развития головного мозга, а также от тяжести течения эпиприпадков. У пациентов с ТС наблюдаются проблемы с поведением: некоторые дети гиперактивны, агрессивны, тревожны, в некоторых случаях страдают аутизмом.
3. Кожные знаки. Одним из первых проявлений являются гипопигментированные пятна на туловище и конечностях, выявляемые даже у новорожденных (могут быть ложно диагностированы как родимые пятна); встречаются в 83% случаев, лучше визуализируется в ультрафиолетовых лучах. Позднее характерно появление ангиофибромы на лице — около носа, на подбородке, щеках. Встречается в 50-80 % случаев; проявляется в виде сыпи, состоящей из пятен размером 0.1-1 см. Распространяясь по лицу могут принимать фигуру «бабочки». С течением времени пятна имеют тенденцию к слиянию и изменению цвета (коричневый, темно-красный). В старшем возрасте диагностируются пятна Shagreen (в 30-70% случаев), подногтевые фибромы и гипопигментации.

Следует отметить, что больной ТС вследствие разнообразия клинических проявлений и степени их выраженности может наблюдаться у различных специалистов. В данной ситуации важной задачей является выявление полисистемности поражения и детекция классической триады.

Морфологические изменения.

Разнообразие клинических проявлений ТС является результатом мальформации фиброзной и соединительной ткани в пораженных органах. Аномалии миграции играют важную роль в неврологических расстройствах. При микроскопическом исследовании бугорковоподобные разрастания включают избыточное количество клеток одного или нескольких типов.

Бугорки могут поражать одну или более извилин головного мозга, располагаться субэпендимально, реже — в стволе мозга, базальных ядрах, в зубчатых ядрах мозжечка; имеют размер 0.2-2 см. В некоторых случаях, в зависимости от локализации, размеров могут вызывать окклюзионную гидроцефалию (в 7-10 % случаев). С течением времени бугорки кальцифицируются; иногда бугорки могут подвергаться злокачественному перерождению в гигантоклеточную астроцитому, реже глиобластому.

Методы лучевой диагностики ТС. Интракраниальные поражения.

Первоначально ТС диагностировался с помощью краниографии (при выявлении интракраниальных интрацеребральных кальцинатов) и пневмоэнцефалографии (при выявлении деформации желудочковой системы, а также выявлении окклюзионной гидроцефалии).

С внедрением в практику рентгеновской компьютерной томографии (РКТ) выявление интракраниальных проявлений ТС и верификация клинических данных достигла 75-85%. Бугорки ТС на РК-томограммах выглядят в виде очагов округлой формы, размером 0.2-2 см с четкими наружными контурами. Имеют при кальцинации высокую плотность, локализуются интрацеребрально: в извилинах, кортикально, субкортикально, субэпендимально, реже — в стволе мозга, базальных ядрах, в зубчатых ядрах мозжечка; в некоторых случаях выявляется утолщение костей свода черепа, гипоплазия мозолистого тела. При проведении контрастирования очаги ТС, как правило, не накапливают контрастный препарат; накопление же свидетельствует о злокачественном перерождении очага. Диагностика некальцифицированных очагов с использованием РКТ затруднена. При выявлении признаков окклюзионной гидроцефалии показано введение контрастного препарата для выявления изоденсивных и злокачественно перерожденных очагов.

Магнитно-резонансная томография (МРТ) открыла новый виток в качественной и количественной диагностике ТС. При проведении краниальной МРТ выявляются различные патологические изменения:
- Интрацеребральные бугорки,
- Кортикальные гетеротопии,
- Дефекты демиелинизации,
- Окклюзионная гидроцефалия,
- Наличие сопутствующих аномалий развития.

При проведении МРТ больному ТС следует обращать внимание на:

1. Наличие субэпендимальных бугорков — наиболее специфичный показатель. Применяются импульсные последовательности взвешенных по Т1 (=Т1W=короткие TR/TE) и по Т2 (=Т2W=длинные TR/TE). На МР-томограммах взвешенных по Т1 определение очагов затруднено из-за их изоинтенсивности к серому веществу. Следует отметить, что кальцинированные очаги могут быть изоинтенсивны на МРТ, в особенности при использовании низкопольных МР-систем.

2. Кортикальные и субкортикальные очаги повышенной интенсивности сигнала в Т2W и изогипоинтенсивные в Т1W. Отмечено, что именно очаги указанной локализации в наибольшей степени влияют на наличие эпиприступов, снижения интеллекта. В визуализации данных очагов МРТ имеет преимущество перед РКТ. Отмечено, что кортикальные и субкортикальные очаги имеют тенденцию к более высокой интенсивности сигнала на Т2W в сравнении с субэпендимальными. Данный факт объясняется повышенным содержанием жидкости в кортикальных и субкортикальных очагах, а также повышенной кальцинацией субэпендимальных очагов.

3. Расширение и деформацию желудочковой системы (возможна верификация её причины и уровня), а также повышение интенсивности сигнала в Т2W и снижение в Т1W перивентрикулярно от белого вещества.

4. Выявление очагов демиелинизации, которые бывают гиперинтенсивными в Т2W и изоинтенсивными в Т1W. Выявляются не всегда. Предпочтение следует отдавать импульсным последовательностям с длинными TR/TE.

5. Нарушение нормальной корковой архитектоники.

6. Наличие сопутствующих аномалий развития, к примеру, интракраниальных аневризм. Образование аневризм сосудов связано с нарушением развития стенки артериальных сосудов.

Экстракраниальные изменения.

Как указывалось выше при ТС определяется вовлечение в процесс различных органов и систем организма: почек, сердца, печени, легких, 12-перстной кишки и др.

- Поражения почек встречаются в 60–80% случаев; к ним можно отнести ангиомиолипомы, единичные или множественные гамартомы, аневризмы почечных сосудов. Ангиомиолипома почек частая находка при ТС. Приведенная ниже Таблица помогает в проведении дифференциального анализа.

Таблица. Особенности ангиомиолипом при ТС и без него.

Ангиомиолипомы, ассоциированные с ТС Ангиомиолипомы, не ассоциированные с ТС
двухсторонние односторонние
множественные единичные
встречаются в детском возрасте без половой акцентуации встречаются у женщин среднего возраста

- Изменения в скелете отмечаются в 40-65% случаев. Проявлениями ТС является остеопороз, кистоподобные дефекты костей запястья, плюсны, фаланг, локальные периостальные утолщения тел трубчатых костей, участки склероза в позвонках, костях таза.

- Поражение сердца встречается не часто, однако в 45% случаев у пациентов с миокардиальной рабдомиомой выявляется ТС

- В 1% случаев определяется вовлечение в процесс легких в виде неспецифического ретикулярного инфильтрата.

Клинические примеры.

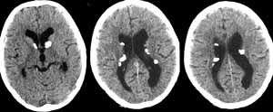
Больной К. 9 лет. Жалобы на наличие миоклонических судорожных припадков, задержку психоречевого развития. Кожа бледно-розовая, на лице, руках — туберозные бугорки. Печень +2 см, селезенка не пальпируется; в правой половине живота определяется образование. По данным РКТ головного мозга обнаружены субэпендимальные кальцинаты с четкими контурами и признаки внутренней гидроцефалии (Рис. 1). При проведении РКТ и УЗИ почек визуализируются двусторонние солидные опухоли размером до 82х90х126мм. (ангиомиолипома — по данным гистологического исследования). (Данные исследования предоставлены Республиканским научно-исследовательским цетром детской онкологии и гематологии; РК-томограф Tomoscan SR (Philips).


[Увеличить]

Рис. 1. РК-томограммы головного мозга. Визуализируются мультифокальные очаги высокой плотности, расположенные субэпиндимально.

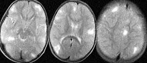
Больной У. 4 года. При поступлении жалобы на судорожные приступы, умственную отсталость, глубокую задержку психоречевого развития. Судороги кивательные, 1-2 серии в день. Ребенок ходит; СПР D<S, высокие. На теле выявлены депигментированные пятна размером до 12 мм. При проведении краниальной МРТ определяются очаги гиперинтенсивные в Т2W и изогипоинтенсивные в Т1W, расположенные преимущественно кортикально и субкортикально. Субэпендимальные очаги явно не визуализируются, возможно, вследствие кальцинации (Рис. 2). (Собственное наблюдение, исследование проведено на базе республиканской клинической психиатрической больницы; МР-томограф «Образ-2М» 0.14 Тл.).


[Увеличить]

Рис. 2. МР-томограммы головного мозга, Т2-взвешенные изображения. Выявляются множественные очаги гиперинтенсивные в Т2W.

Заключение.

Исходя из вышесказанного, можно рекомендовать РКТ и МРТ как методы выбора в диагностике ТС. РКТ эффективна в выявлении кальцифицированных интрацеребральных очагов у больных ТС. В отличие от РКТ, МРТ особенно эффективна в диагностировании некальцифицированных интракраниальных и экстракраниальных очагов поражения, а также в выявлении широкого спектра сопутствующей патологии при ТС.


О журнале Архив Содержание