На главную страницу
На главную

 
 
О журнале Архив Содержание

(Новости лучевой диагностики 2001 1-2: 16-19)

Клинико-рентгенологические особенности мелкоклеточного рака легкого.

Моисеев П. И.

НИИ онкологии и медицинской радиологии им. Н.Н.Александрова, г. Минск.

Характер роста рака легкого, склонность к метастазированию, скорость распространения на соседние ткани и другие биологические особенности опухоли в значительной мере определяются ее гистологической структурой. Особой разновидностью рака легкого, отличающейся своеобразной клинико-морфологической картиной, является мелкоклеточный рак (МКРЛ). Именно эта форма в последние два десятилетия привлекает все большее внимание исследователей разных специальностей. Это связано с особенностями клинического течения, расширением возможностей диагностики и постоянно меняющимися взглядами в отношении лечебной тактики. Впервые мелкоклеточный рак, как особо злокачественную форму (средняя продолжительность жизни больных МКРЛ без лечения не превышает 4 месяцев), выделили в 1962 г. L. Watson и J. Berg.

В натоящее время рак легкого принято делить на два принципиально различных гистологических типа — немелкоклеточный и мелкоклеточный. Этот принцип используется при оценке отдаленных результатов и планирования лечения рака легкого.

Частота МКРЛ среди всех форм рака легкого колеблется, по материалам разных авторов, от 14 до 40% у мужчин и от 9 до 45% у женщин, составляя в среднем около 25%.

Биологические особенности опухоли, как известно, характеризуются временем удвоения ее объема и склонностью к лимфогематогенному метастазированию. Для МКРЛ этот показатель составляет в среднем 33 дня, для плоскоклеточного и железистого — 103 и 189 соответственно. При МКРЛ чаще, чем при других формах рака легкого встречаются метастазы во внутригрудных лимфатических узлах и отдаленных органах. Нередко у больных возникает синдром сдавления верхней полой вены, а также обнаруживается метастатическое поражение надключичных лимфоузлов. По данным МНИОИ им. Герцена только у 7 % больных МКРЛ не обнаружено регионарных метастазов.

МКРЛ характеризуется коротким анамнезом, сопровождается богатством клинической симптоматики, обусловленной значительным распространением процесса и высокой частотой нейроэндокринных паранеопластических синдромов. По данным Kato, у 80% больных МКРЛ длительность существования симптомов заболевания к моменту установления диагноза не превышала 3 мес., а при эпидермоидном раке — около 8 мес. У 23% больных аденокарциномой легкого отмечено бессимптомное течение болезни.

В результате сложилось представление о МКРЛ, как об относительно небольшой первичной опухоли с обширным метастатическим поражением регионарных лимфоузлов и ранним метастазированием в отдаленные органы (так называемая «генерализованная форма» рака легкого). Исходя из этих позиций, до настоящего времени в большинстве клиник мира в лечении МКРЛ предпочтение отдается консервативным методам.
Однако по мере накопления клинического опыта стала формироваться убежденность в обоснованности использования при МКРЛ классификации по системе TNM, как и при других формах рака легкого. Это имеет принципиальное значение, так как позволяет предпринимать активные диагностические мероприятия и планировать радикальное лечение.

ISC Lung Cancer Study Group (1996) получили в своем рандомизированном исследовании следующие результаты: из 118 радикально оперированных больных только 69.5% имели метастазы в регионарных лимфоузлах, из них у 30% были поражены лимфоузлы средостения. По данным отделения торакальной хирургии и онкологии НИИО и МР им. Н.Н. Александрова, основанным на обследовании 220 оперированных больных МКРЛ, поражение внутригрудных лимфоузлов наблюдалось в 68.9%, из них у 23.2% — бронхопульмональных и корневых лимфоузлов и у 45.7% — средостения.

Прослеживается четкая зависимость частоты поражения лимфоузлов средостения от размеров опухоли (критерий Т). По материалам МНИОИ им. П.А. Герцена при первичной опухоли T2 в 25.7% случаев имелось поражение этих узлов, при T3 — у 60%, Т4 — 75%. Наши собственные наблюдения: при Т1 метастазы в лимфоузлах средостения были только у 12.0% больных, при Т2 — 48.9%, при Т3 — 51.4%, при Т4 — 80.0%.
Приведенные цифры только подтверждают вывод о том, что и при этой гистологической форме рака легкого имеется локорегинарная стадия заболевания, в связи с чем правомерна постановка вопроса о хирургическом вмешательстве.

Имеются сведения о связи клинического проявления рака легкого с его рентгенологической картиной и гистологической формой. Byrd и соавт. показали, что рентгенологическая картина при МКРЛ характеризуется наличием образования в области корня почти в 2 раза чаще, чем при эпидермоидном и крупноклеточном раке, и в 5 раз чаще, чем при аденокарциноме. В то же время солитарные узлы в паренхиме легкого при МКРЛ встречаются в два раза реже, чем при немелкоклеточном.

По литературным данным, в 80% МКРЛ поражает крупные бронхи. Анализ собственных наблюдений показал, что центральная форма рака отмечена у 69.9% больных, периферическая у — 30.1%. Метастатически измененные лимфоузлы наблюдались в 84.2% при центральном раке, в 45.9% при периферическом, т. е. почти в два раза чаще. При центральной форме мелкоклеточного рака рентгеновская картина зачастую представлена тенью, отображающей первичную опухоль в конгломерате с лимфатическими узлами корневой зоны и расширенной тенью средостения. В редких случаях увеличенные лимфатические узлы выглядят изолированными.

Периферическая опухоль, как правило, округлое образование с бугристыми очертаниями, окруженное венчиком из грубых тяжей. Чаще всего размеры опухоли не превышают 5 см в диаметре, однако иногда достигают размеров в 2 раза больших. Полость распада в узле практически никогда не определяется, однако и из этого правила бывают исключения.

В зависимости от стороны поражения больные распределились практически одинаково: у 49.1% из них опухоль находилась в правом легком и у 50.9% — в левом. При правосторонней локализации поражение лимфоузлов средостения значительно преобладало над поражением бронхопульмональных и корневых лимфоузлов (50.9% против 15.4%), в то время как при левосторонней локализации такая закономерность практически не прослеживалась (30.6% против 40.7%). Опухоль наиболее часто располагалась в верхних долях легкого — 67.9%, причем при локализации в верхнедолевых бронхах — метастазы в лимфоузлах были обнаружены в 87.5% случаев (при этом в 59.4% случаев в лимфоузлах средостения). При раке правого верхнедолевого бронха метастазы в лимфоузлах наблюдались в 100% (в 82.6% в лимфоузлах средостения). В случаях вовлечения в опухолевый процесс главного бронха вне зависимости от стороны поражения всегда были поражены лимфоузлы средостения.

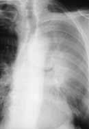
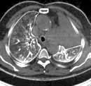
Таким образом, совершенно очевидно, что выбор тактики лечения, прогноз и выживаемость больных определяются в первую очередь состоянием регионарных лимфоузлов. По мнению ряда авторов, выявление увеличенных лимфоузлов корней легких достигается при обычной томографии (точность 92%). Существенным преимуществом томографии является возможность адекватного отображения трахеи, трахеобронхиального угла, карины, главных бронхов. Наиболее информативным неинвазивным методом определения метастазов в лимфатических узлах средостения на сегодняшний момент является компьютерная томография (КТ). Поэтому совершенно необходимо выполнение этого исследования до начала лечения (Рис. 1). Величина медиастинальных лимфоузлов достаточно точно коррелирует с частотой их поражения. H. Nishiyama и соавт. считают, что метастазы отсутствуют в узлах диаметром менее 1 см. При диаметре 1.1 — 1.5 см возможно поражение узлов. Диаметр более 1.5 см указывает на регионарные метастазы. По данным авторов, при таких установках точность КТ до операции составляла 78%, специфичность — 79%. Однако и с помощью компьютерной томографии нельзя дифференцировать метастазы от гиперплазии лимфатических узлов или их увеличения, связанного с обтурационным пневмонитом. В таких условиях данные КТ следует оценивать с большой осторожностью. В связи с этим некоторые авторы рекомендуют считать пораженными узлы диаметром более 20 мм, неизмененными — менее 10 мм. При узлах 10 — 20 мм в диаметре возникает подозрение на метастазы.
 
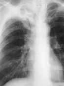
Рис. 1. Рак левого верхнедолевого бронха с переходом на главный. (а) Обзорная рентгенограмма в прямой проекции

 
Рис. 1. Рак левого верхнедолевого бронха с переходом на главный. (б) Цифровая томограмма.

 
Рис. 1. Рак левого верхнедолевого бронха с переходом на главный. (в) Компьютерная томограмма. Конгломерат опухоли и левых паратрахеальных лимфоузлов врастает в легочную артерию. Метастазы в паратрахеальные лимфоузлы справа.

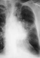
Рентгенологическая оценка эффективности химиолучевой терапии МКРЛ представляет определенные трудности. Изменения в бронхах и легких (постлучевой фиброз, трансформация легочного рисунка, деформация бронхов и т. д.), связанные с облучением искажают истинную динамику процесса. В связи с этим часто не удается определить, произошла ли полная регрессия опухоли на фоне постлучевых изменений или имеются остаточные явления опухолевого поражения (Рис. 2). В таких случаях более определенную картину может дать только повторное компьютерное исследование.
 
Рис. 2. Рак левого верхнедолевого бронха. (а) Обзорная рентгенограмма в прямой проекции до лечения.

 
Рис. 2. Рак левого верхнедолевого бронха. (б) Обзорная рентгенограмма в прямой проекции после химиолучевого лечения (постлучевой пульмонит, фиброз).

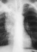
Предполагается, что химиотерапия является фактором отбора наиболее устойчивых к цитостатикам более дифференцированных клеток, которые получают возможность быстро размножаться и формировать новые очаги опухоли. Видимо этот факт объясняет высокую частоту (по разным данным от 33 до 50%) местных рецидивов при консервативном лечении МКРЛ (Рис. 3).
 
Рис. 3. Рак правого верхнедолевого бронха. (а) Обзорная рентгенограмма в прямой проекции до лечения.

 
Рис. 3. Рак правого верхнедолевого бронха. (б) Обзорная рентгенограмма в прямой проекции после 2 курхов химиотерапии (резорбция опухоли и метастазов в лимфоузлы средостения).

 
Рис. 3. Рак правого верхнедолевого бронха. (в) Обзорная рентгенограмма в прямой проекции до лечения. Рецидив опухоли через 10 месяцев.

В заключение следует отметить, что проблема МКРЛ сложна в отношении не только диагностики, но и лечения этого тяжелого заболевания. Она является моделью всех трудностей современной онкологии, сконцентрировавшей в себе основные неразрешенные вопросы. Современные показатели 5-летней выживаемости больных МКРЛ (по нашим данным 26 % при пораженни лимфоузлов средостения) подчеркивают, что в настоящее время к таким пациентам необходимо относиться как к потенциально излечимым и в полном объеме использовать по показаниям все методы диагностики и лечебного воздействия.

Выводы:

1. Мелкоклеточный рак — особая разновидность рака легкого, отличающася своеобразным клиническим течением и рентгенологической картиной.
2. Высокая частота поражения лимфоузлов средостения является основанием для обязательного выполнения болным мелкоклеточным раком легкого компьютерной томографии.
3. Современные подходы к диагностике и лечению больных мелкоклеточным раком легкого позволяют рассчитывать на успех даже при III стадии заболевания.
 

О журнале Архив Содержание