На главную страницу
На главную

 
 
О журнале Архив Содержание

(Новости лучевой диагностики 2001 1-2: 70-71)

Роль магнитно-резонансной томографии и миелинотоксической активности сыворотки крови в диагностике начального периода рассеянного склероза.

Филиппович А. Н.

БелМАПО.

Диагностика начального периода рассеянного склероза (РС) представляет большие трудности, так как на ранних стадиях заболевание манифистирует преходящими симптомами. Ни один из признаков (зрительные, вестибулярные, пирамидные) не является строго специфичным только для РС. Учитывая появление первых симптомов в детском или юношеском возрасте, длительный латентный период течения РС, его ранняя диагностика является весьма актуальной. Ошибки, связанные с субьективными и объективными факторами на ранних стадиях РС по данным различных авторов составляют от 32 до 78,4% (1, 2, 4).

Задачей настоящего исследования явилось: разработка комплекса методов ранней диагностики РС, определение корреляции ранних клинических, МР-томографических признаков заболевания с учетом активности демиелинизирующего процесса по данным динамики миелинотоксической активности сыворотки крови и спинномозговой жидкости. Под нашим наблюдением в течение длительного периода времени (свыше 5 лет) находилось 685 больных РС в возрасте 16-35 лет. Из них с различными формами начального периода РС было 75 человек, что составляло 10,9% от общего числа исследуемых.

Оценка полученных результатов проводилась с учетом динамики клинической картины РС, данных МР-томографии головного и спинного мозга, а также оценки стадии активности демиелинизирующего процесса по уровню миелинотоксической активности (МТА) сыворотки крови и спинномозговой жидкости (СМЖ).

При анализе субъективных факторов заболевания выявлялась у 58 (77,3%) из 75 больных на начальной стадии полиморфность жалоб, в связи с чем врачами поликлиник ошибочно ставились диагнозы психосоматических или функциональных заболеваний.

Моносимптомное начало РС имело место у 46 (61,3%), полисимптомное - у 29 (38,7%) исследуемых. При этом в возрасте до 25 лет преобладали лица с моносимптомным течением РС, а в возрасте от 26 до 35 лет - с полисимптомным. Клиническая картина моносимптомного дебюта РС отличалась у 21,2-62,7% больных двигательными или оптическими, реже мозжечковыми расстройствами или чувствительными нарушениями. Однако в манифестации РС имели место редкие симптомы (в 1,3-5,3% случаев), которые характеризовались глазодвигательными или тазовыми нарушениями, реже изолированным поражением лицевого нерва (по периферическому типу), бульбарными расстройствами, головными болями или головокружением. Они существенно затрудняли раннюю диагностику РС за счет расширения дифференциально диагностического круга заболеваний.

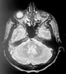
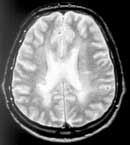
Данные МРТ головного и спинного мозга позволили выявить очаги снижения интенсивности сигнала (чаще перивентрикулярные, реже одиночные в ножках мозга, полушариях) в Т-1W режиме и одновременного повышения интенсивности сигнала в Т-2W режиме в начальном периоде РС у 53 (70,7%) в головном и у 41 (54,7%) - в спинном мозге. Несмотря на наличие четких клинических симптомов РС диагностическая значимость МРТ головного и спинного мозга в начальном периоде РС не высокая (Рис. 1, 2).
 
Рис. 1. Очаги демиелинизации в стволе головного мозга.

 
Рис 2. Расширение желудочковой системы.

В этой связи всем больным РС в динамике до и в процессе лечения (по 3-5 раз) проводилось определение миелинотоксической активности сыворотки крови, реже СМЖ. С учетом полученных данных выделено две группы исследуемых: 1-я - 46 больных РС с моносимптомами в клинической картине, небольшим увеличением МТА сыворотки крови (9,8+/-1,3 усл.ед.) и СМЖ (11,2+/-1,2 усл.ед.). Однако в отличие от больных полученные показатели у доноров достоверно отличались от уровней МТА как сыворотки крови (3,9+/-0,82 усл.ед.; Р<0,01), так и СМЖ (5,9+/-1,4 усл.ед.; Р<0,05).

Следовательно, для моносимптомного течения РС было характерным достоверное увеличение МТА сыворотки крови (в 1,5 раза) и СМЖ (в 1,9 раза) по сравнению с группой доноров даже при отсутствии очагов демиелинизации на МРТ вокруг желудочковой системы или наличии единичных разбросанных очагов в головном мозге.

Полисимптомное течение начального периода РС, наряду с характерной клинической картиной заболевания, отличалось достоверным повышением МТА сыворотки крови (18,9+/-0,92 усл.ед.) и СМЖ (23,4+/-0,7 усл. ед.) не только по сравнению с группой доноров, но и первой группой исследуемых (соответственно 0,001 и 0,001). Выявленные в начальном периоде у больных РС достаточно высокие цифры МТА спинномозговой жидкости и сыворотки крови являются важным диагностическим критерием дебюта РС. Они, по нашему мнению, обусловлены не только активностью самого процесса демиелинизации, но и выраженными нарушениями проницаемости гематоэнцефалического барьера у больных РС. В этой связи определение МТА сыворотки крови имеет высокую диагностическую значимость и позволяет в комплексе с клиническими данными объективно оценить активность демиелинизирующего процесса на ранних стадиях РС.

На основании данных проведенного исследования можно сделать следующие выводы:

1. Начальный период рассеянного склероза отличается преимущественно моносимптомным (61,3%), реже полисимптомным (38,7%) течением.
2. Диагностическая значимость МРТ головного мозга в начальном периоде РС составляет 70,7%, спинного мозга - 54,7%. Отсутствие на МРТ очагов демиелинизации не исключает наличие рассеянного склероза.
3. Определение миелинотоксической активности сыворотки крови и спинномозговой жидкости в комплексе с клинической картиной, данными МРТ головного и спинного мозга позволяет в абсолютном большинстве случаев выявить начальный период рассеянного склероза.

Литература:

1. Головкин В.И. Рассеянный склероз //Рассеянный склероз: лечение и оздоровление: (Мат. Конф.). СПб: ЛИКИ РОССИИ, 2000 - С.3-8.
2. Гордеев Я.Я., Шамова Т.М., Здоровец Л.А., Сукристик В.В., Лебейко Т.Я. Терапия рассеяннго склероза //Методические рекомендации. Минск, 1998. - 33с.
3. Филиппович Н.Ф., Лучко В.П., Филиппович А.Н. Способ диагностики рассеяннго склероза //Достижения медицинской науки Беларуси. - Минск, 1998. - с.156-157.
4. Hartung H., Reiners K., Archelos J. et al. Circulating adhesion molecules and tumor necrosis factor in multiple sclerosis: correlation with magnetic resonance imaging //Ann/ - Neurol. - 1995. V.38. - N 8. - P. 186-279.
 

О журнале Архив Содержание