На главную страницу
На главную

 
 
О журнале Архив Содержание

(Новости лучевой диагностики 2001 1-2: 65-67)

УЗИ в диагностике аппендицита.

Савинова О. В.

Тартуская Университетская больница, Эстония.

Червеобразный отросток может находиться почти в любой части брюшной полости (1) в зависимости от вариантов его развития и степени ротации кишечника (Рис. 1, 2). Обычно аппендикс находится в нижнем правом квадранте живота, в зависимости от размеров он может достигать малого таза.
 

Увеличить

Рис. 1. Возможные варианты положения аппендикса.

 
Рис. 2. Случай гиперротации толстой кишки:
 a - appendix,
 aс - соlon ascendens,
 c - caecum,
 dc - colon descendens,
 i - ileum,
 r - rectum,
 tc - colon transversum.

Длина аппендикса варьирует от 0,5 до 23 см. Был описан червеобразный отросток длиной 33 см. Аппендикс может отсутствовать или быть в 2 экземплярах. У одного пациента были найдены 3 аппендикса (1).

Согласно статистическим данным аппендицитом (Рис. 3) заболевают 10% населения. Сонография сейчас играет важную роль в диагностике этой патологии. При жалобах на боли в животе обследование начинаем 3,5 МГц конвексным датчиком для исключения патологии поджелудочной железы, желчного и мочевого пузыря, почек, матки. После чего обследование продолжаем в правом нижнем латеральном квадранте 5,0 или 7,0 МГц линеарным датчиком, используя технику постепенной компрессии (2, 3).
 
Рис. 3. Воспаленный аппендикс, макропрепарат.

Пациент, лежащий на спине, указывает или сам ставит датчик на самый сильный болевой пункт, после чего начинаем постепенно нарастающую компрессию. Постепенно усиливающееся сжимание позволяет уменьшить расстояние датчик-аппендикс до 0,5-3 см. Окружающие ткани дислоцируются или сдавливаются, слепая кишка сокращается, опустошаясь. В сомнительных ситуациях стоит повторить обследование, опустошив мочевой пузырь или после 20-30 минутного перерыва.

Если пациент не может точно локализовать боль, то следует пользоваться стратегией поиска исходя из частоты расположения аппендикса в различных позициях (Рис. 4).
 

Увеличить

Рис. 4. Диаграмма иллюстрирует позиции аппендикса, которые он может занимать по отношению к слепой и подвздошной кишке с частотами расположения в процентах.

Стратегия поиска.

Стратегия поиска аппендикса применяется, если пациент не в состоянии локализовать боль сам. Список вариантов поиска составлен от более вероятных и легких к менее вероятным и сложным (4):
1) Поиск начальной части аппендикса около верхушки слепой кишки.
2) Поиск выше подвздошных сосудов.
3) Поиск перед илиакальной мышцей.
4) Поиск за терминальным отделом подвздошной кишки.
5) Поиск латеральнее, медиальнее слепой кишки и за ней.
6) Проверка малого таза около правого яичника и в области Дугласового пространства.

Поиск начальной части аппендикса около верхушки слепой кишки.

Червеобразный отросток часто берёт начало от нижневнутренней поверхности слепой кишки. Слепая кишка это самая латеральная структура в правом латеральном квадранте, крупнее рядом расположенных отделов кишечника, с характерной, благодаря гаустрации и содержанию газа, ультразвуковой структурой.

Поиск выше подвздошных сосудов.

Обычное расположение проксимальных 2/3 нормального аппендикса, особенно у женщин. Дистальный отдел аппендикса иногда может занимать положение глубоко в малом тазу.

Перед илиакальной мышцей.

Более типично для детей и мужчин.

Положение за терминальным отделом подвздошной кишки.

Терминальный илеум расположен медиально от слепой кишки, имеет меньший диаметр и более «гладкую» газовую УЗИ структуру, перестальтирует, имеет илеоцекальный клапан. Аппендикс может быть расположен глубже сзади подвздошной кишки.

Латеральнее, медиальнее и сзади слепой кишки.

Особенно трудно найти нормальный аппендикс сзади слепой кишки. Результатов достичь легче, если слепая кишка сократилась во время предварительного обследования в результате длительного сжимания и опорожнилась. Пациент лежит вполоборота на левом боку, датчик расположен по передней подмышечной линии. Воспалённый аппендикс определяется сзади слепой кишки легче, но, тем не менее, именно при этом положении аппендикса наиболее часты диагностические ошибки.

Проверка таза.

Дистальный отдел аппендикса может быть расположен очень глубоко за маткой и правым яичником. В некоторых случаях следует проверить эти области вагинальным датчиком.

Нормальный аппендикс.

· Нормальным аппендикс при УЗИ (Рис. 5) выглядит как трубчатая (часто изогнутая) слоистая структура, начинается от цекума и заканчивается слепым концом.
· В поперечном сечении аппендикс круглее окружающих отделов кишечника.
· Он хорошо снимаем, без перистальтики и обычно без внутреннего содержимого.
· Диаметр нормального аппендикса < 6 мм, толщина стенки до 3 мм (1, 2, 5).
 
Рис. 5. Средняя часть нормального аппендикса над подвздошными сосудами. Поперечное положение датчика.

Воспалённый аппендикс.

Воспалённый аппендикс на УЗИ выглядит как:
· Не поддающаяся компрессии трубчатая структура с одним слепым концом (Рис. 6).
· В поперечном сечении напоминает мишень. Если аппендикс изогнут, то при поперечном сканировании возникает картина, напоминающая митоз клеток (Рис. 7).
· Максимальный наружный диаметр превышает 6 мм.
· При заполненном аппендиксе максимальная толщина стенок превышает 3 мм.
 

Увеличить

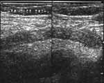
Рис. 6. Воспаленный аппендикс диаметром 0,74 см в продольном сечении. Положение датчика косое.

 

Увеличить

Рис. 7. Поперечное сканирование воспаленного (диаметр 0,89 см.) изогнутого (на снимке дважды видно поперечное сечение) аппендикса.

Перфорированный аппендикс (Рис. 8).

· Стенки воспалённого аппендикса неравномерно утолщены, слоистость прерывается.
· Жидкость вокруг аппендикса, окруженная воспалённым сальником повышенной эхогенности.
· Свободная жидкость в брюшной полости.
· Одиночный или множественные абсцессы между кишечными петлями.
 

Увеличить

Рис. 8. Продольное сканирование перфорированного аппендикса. Контур стенки в нижней части прерывист, рядом - анэхогенное скопление жидкости.

Острый аппендицит (Рис. 9).

· Воспалённый аппендикс.
· Периаппендикулярная жидкость, абсцесс.
· Неспецифические симптомы: жидкость в малом тазу, аппендикалит (Рис. 10), увеличенные лимфоузлы.
 
Рис. 9. Продольное изображение воспаленного аппендикса с тонким периаппендилулярным слоем жидкости.

 
Рис. 10. Поперечное изображение воспаленного аппендикса толщиной 1,2 см. В просвете аппендикалит 0,8 см.

Технические ловушки.

· Очень "тугой" живот вследствие выраженного ожирения, метеоризма, асцита или поздних сроков беременности.
· Повышенная чувствительность пациента.

Ложноотрицательные диагнозы.

· Слабая подготовка и отсутствие опыта у врача УЗИ - следует компенсировать длительностью и тщательностью обследования.
· Фокальный или ретроцекальный аппендицит - в 20% случаев проксимальные 2/3 аппендикса выглядят нормально, воспаление в дистальной части. Ретроцекальный аппендикс трудно визуализировать.
· Перфорированный аппендицит - вследствие декомрессии его диаметр может находиться в пределах нормы. Допплером подтверждаем воспалительную гиперемию и отёк мезоаппендикса.
· Резорбировавшийся аппендицит - в период ремиссии размеры могут быть в пределах нормы.
· Мезентериальный лимфаденит - такой ложный диагноз возможен при увеличении лимфоузлов и незамеченном аппендиците.
· Слабый вторичный илеоцекит или терминальный илеит могут быть обусловленны аппендицитом, но эти реактивные изменения обычно незначительны.
· Аппендицит с фекалитом на УЗИ очень похож на цекальный дивертикулит.

Ложноположительные диагнозы.

Ложноположительные диагнозы возможны при заболеваниях желудочно-кишечного тракта, клинически напоминающих аппендицит или вызывающих реактивный периаппендицит:
· Болезнь Крона.
· Крацинома.
· Сегментарный инфаркт сальника (может возникнуть в любом возрасте). Пальпируется плотное ограниченное образование. УЗИ: овоидное, очень гиперэхогенное, чётко ограниченное некомпремируемое образование.
· Перфорировавшая язва желудка + химический периаппендицит.
· Сигмовидный дивертикулит или сальпингит + периаппендицит.
· Радиационный аппендицит.

Дифференциальная диагностика.

· Геморрагическая киста яичника.
· Торсия кисты яичника.
· Внематочная беременность.
· Воспаление желчного пузыря.
· Острый пиелонефрит.
· Воспаление мочевого пузыря.
· Камни в мочеточнике или мочевом пузыре.

Редкие имитирующие аппендицит заболевания.

· Аппендикулярное мукоцеле. УЗИ: плотное, хорошо ограниченное многослойнное образование. Напоминает луковицу на поперечном разрезе.
· Инвагинация аппендикса. УЗИ: образование 3-5 см в поперечнике. Периферия гипоэхогенная, центральная часть даёт интенсивный гиперэхогенный сигнал.
· Карциноид аппендикса - умеренные боли более месяца. УЗИ: очень большой аппендикс при полном отсутствии периаппендицита.
· Гематома прямой мышцы живота.
· Аневризма аорты.

Последние два заболевания напоминают аппендицит только клинически.

По данным различных авторов (1, 2, 5, 6) чувствительность УЗИ метода в выявлении аппендицита 76%, специфичность 89%, точность 83% (для КТ эти показатели несколько выше: 96%, 91% и 94%). Но УЗИ обследование в 3-4 раза дешевле КТ. Его можно повторно проводить у постели больного, отсутствует облучение. Из недостатков УЗИ следует отметить его зависимость от особенностей пациента и опыта обследующего врача.

Литература:

1. R.Bergman at all. Veriform process (appendix). Virtual hospital. http://www.vh.org 2.Puylaert, JBCM The use of ultrasound in patients with clinical signs of appendicitis. 1986.
3. Puylaert, JBMC et al. A prospective study of ultrasonography in the diagnosis of appendicitis. NEJM 1987; 317:666-669.
4. Rapp C., Sonography of the Appendix. http://www.acuson.com/cgi-bin/ques8.cgi.
5. Sim KT et al. Ultrasound with graded compression in the evaluation of acute appendicitis Journal of the National Medical Assotiation 1989; 81(9): 954-957.
6. Schwerk WB et al. Acute and perforated appendicitis: current experience with ultrasound –aided diagnosis. World Journal of Surgery 1990; 14: 271-276.
 

О журнале Архив Содержание