На главную страницу
На главную

 
 
О журнале Архив Содержание

(Новости лучевой диагностики 2001 1-2: 56-59)

Лучевая диагностика врожденных аномалий желчных протоков.

Дегтярев Ю. Г.

1-ая городская клиническая больница, г. Минск

Проблема диагностики врождённой патологии гепатобилиарной системы является одной из наиболее сложных и дискутабельных в детской хирургии. Это обусловлено относительной редкостью аномалии, многообразием её форм с поражением различных отделов желчевыводящей системы, нередким сочетанием с воспалительными заболеваниями желчных путей. Согласно Международной статистической классификации болезней 10-го пересмотра в группу врожденных аномалий желчных протоков входят атрезия, врожденный стеноз и киста общего желчного протока.

Фиброгастродуоденоскопию детям проводили аппаратом «OLYMPUS» (Япония) типа GIF- XP10 и Р30 по стандартной методике, в положении лежа на левом боку. Для лапароскопических исследований нами применялся набор фирмы KARL STORZ (Германия). Рентгенологические исследования (обзорные и контрастные) проводили аппаратом "Siеmens" (Германия). УЗИ выполнялось на диагностической системе "Siemens-400" конвексным датчиком частотой 5,0 МГц. Оптимизацию изображений производили по стандартным программам для данной системы абдоминального УЗИ, для лучшей визуализации мелких сосудов использовали режим увеличения интересующей нас области. Исследование производили утром после ночного голодания, в положении пациентов лежа на спине. Производилась оценка системы портальной вены, внутри и внепеченочных желчных путей по стандартным методикам. Частота сонографии была от 1 до 7 исследований у 1 пациента.

Методика УЗ исследования - полипозиционная с применением приемов дозированной компрессии для лучшей визуализации.

При проведении УЗ исследования придерживались следующих методических приемов:
• детальное ультразвуковое исследование печени с измерением размеров, характеристика контуров, эхогенности, структуры;
• прицельный осмотр желчного пузыря с измерением его размеров;
• детальный осмотр внутри- и внепеченочных желчных протоков, измерение диаметра общего желчного протока, левого печеночного протока;
• динамическое ультразвуковое исследование, частота которого определяется уровнем билирубинемии.

В настоящее время первоначальным методом - скрининг-тестом в диагностике поражений желчевыводящей системы является УЗИ печени и желчных путей, с которого следует начинать обследование ребёнка при подозрении на патологию желчевыводящей системы. Ультраэхография - простая и атравматичная процедура, которая использовалась во всех случаях у больных с холестазом, как первая ступень в исследовании этих пациентов.

Диагноз атрезии желчных ходов должен быть поставлен новорожденным как можно раньше, потому что успех операции связан с возрастом проведения операции, самый крайний срок - первые два месяца жизни. Поэтому новорожденные с постоянным холестазом должны рассматриваться как экстренные больные, которые нуждаются в немедленной диагностике и лечении их в условиях специализированного детского хирургического отделения.

Обследовано 7 пациентов с атрезией вне- и внутрипеченочных желчных путей ( диагноз подтвержден пункционной биопсией или во время операции). УЗИ признаки атрезии: отсутствующий или маленький желчный пузырь (треугольный тяж), который не изменяет размеры при приеме пищи, и увеличенная эхогенность печени (Рис. 1). Сокращение желчного пузыря после кормления исключает атрезию желчных протоков.
 
Рис. 1. Эхограмма. Атрезия внутри- и внепеченочных желчных путей.

При атрезии желчных ходов выполняется операция портоэнтероанастомоза.

Кисты общего желчного протока диагностируются чаще у детей старшей возрастной группы. Это объясняется тем, что формирование кисты из врожденного структурно патологического протока происходит в возрасте 3-4 лет, а иногда только в пубертатном или подростковом возрасте. В 1970-1985 гг в связи с трудностями диагностики оперировались дети с кистами больших размеров (до 20 см в диаметре). До применения УЗИ - установить до операции диагноз кистозной трансформации гепатобилиарной системы было чрезвычайно сложно: использовались рентгенологические методы с контрастированием ЖКТ, наложение пневмоперитонеума с последующим рентгенологическим исследованием, фиброгастроскопия. Информативность и специфичность этих методов исследования была минимальной. В настоящее время данные методы имеют лишь историческое значение. С появлением УЗИ появилась возможность ранней диагностики кистозной трансформации общего желчного протока, динамического наблюдения за больными с целью контроля размеров дилятации, выбора оптимального срока хирургического вмешательства. Оно позволяет получить данные не только о самом существовании кисты, её размерах и положении, но и даёт представление о стенках кисты, её содержимом, взаимоотношениях с окружающими органами, характере изменений в последних. В детском хирургическом центре в 1970-2001 гг. находились на лечении 28 детей с кистозной трансформацией общего желчного протока. УЗИ применяется в диагностике кистозной трансформации общего желчного протокам с 1986 г.

Эхографически киста общего желчного протока определяется как округлое или овальное анэхогенное образование, локализующееся в области головки поджелудочной железы и не связанное с желчным пузырем (Рис. 2).
 
Рис. 2. Кистозное расширение общего желчного протока.

Проведено УЗИ 17 детям с кистозной трансформацией гепатобилиарной системы. Увеличение печени выявлено у 9 детей, у 8 размеры печени были в пределах возрастной нормы. Форма образования была круглой - у 5 пациентов, овальной - у 9 пациентов, неправильной - у 5 больных. Контуры образования расценены как четкие у 8 пациентов, нечеткие у 6 пациентов, ровные у 2 пациентов, неровные у 1 пациента.

Компьютерная томография для диагностики кист общего желчного протока применена нами у 3 больных.

Компьютерная томография полностью подтвердила данные, полученные при сонографическом исследовании. Следует так же учесть и то, что больной получает большую лучевую нагрузку, высокой является стоимость обследования. Поэтому в нашей практике компьютерная томография не нашла широкого применения в диагностике кистозной трансформации общего желчного протока.

Одним из методов диагносики кистозной трансформации желчевыводящих путей у детей является эндоскопическая ретроградная холангиопанкреатография. В детском хирургическом центре эта методика использована у 2 больных старшей возрастной группы (8-14 лет). Эндоскопическая ретроградная холангиопанкреатография очень точно позволяет определить распространенность внутри и внепеченочного поражения желчных ходов, если сохранена проходимость дистальной части общего желчного протока. В то же время при ее проведении может произойти инфицирование желчевыводящих путей и панкреатического протока с развитием холангита и панкреатита, поэтому в педиатрической практике данный метод широкого распространения не получил.

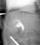
Таким образом, дооперационная диагностика кистозной трансформации желчевыводящих путей в настоящее время значительно улучшилась благодаря применению современных методов исследования. Однако, выбор оперативного метода лечения окончательно может быть произведен только во время операции, так как решающее значение в верификации диагноза имеют интраоперационные рентгеноконтрастные методы исследования, которые позволяют выявить кистозные расширения вне- и внутрипеченочных желчных протоков, степень и протяженность их дилятации, проходимость терминального отдела холедоха, рубцовые сужения печеночных протоков, билиопанкреатический рефлюкс. Поэтому всем больным после лапаротомии производилась интраоперационная холангиография и, на основании полученных данных решался вопрос о выборе метода хирургического лечения. Данная методика выполнена 10 пациентам (Рис. 3).
 
Рис. 3. Интраоперационная холангиография.

Нами предложен новый метод распознавания и лечения врожденной патологии желчевыводящей системы, включающий в себя комбинированное применение лапароскопии, чрезкожной чрезпеченочной холецистохолангиографии в сочетании с рентгенологическим контролем (под контролем электронно-оптического преобразователя) в режиме реального времени.

Метод заключается в следующем: под контролем введенного через пупок лапароскопа производим через отдельный прокол в правой подреберной области чрезкожную чрезпеченочную холецистохолангиографию путем введения водорастворимого контрастного вещества. Полученную рентгенологическую картину наблюдаем в динамике в режиме реального времени на экране монитора электронно-оптического преобразователя.

К положительным сторонам данного метода относится: а) возможность применения у новорожденных детей; б) естественное (антеградное) введение контрастного вещества не допускает развития восходящего холангита; в) минимальная травматичность, г) высокая информативность, д) возможность в некоторых случаях устранять препятствие в области желчного протока.

В качестве примера приведем случай восстановления проходимости общего желчного протока у двухмесячного ребенка.

При чрезкожной чрезпеченочной холецистохолангиографии контрастируется желчный пузырь извитой в области тела и шейки, расширенный до 0,9 см общий желчный проток, общий печеночный и правый печеночный протоки с сегментарными ветвями. В просвете общего желчного протока несколько дефектов контрастирования, подобных конкрементам, хорошо смещаемых. Котрастное вещество в 12-перстную кишку не поступает (Рис. 4). При манипуляции лапароскопическим инструментарием и повышении гидростатического давления в билиарной системе получен сброс контрастного вещества в 12-перстную кишку, при этом ширина холедоха уменьшилась (Рис. 5).
 
Рис. 4. Чрезкожная чрезпеченочная холецистохолангиография под контролем лапароскопа (контрастное вещество в 12-перстную кишку не поступает).

 
Рис. 5. Чрезкожная чрезпеченочная холецистохолангиография под контролем лапароскопа (контрастное вещество в 12-перстной кишке).

Ребенок осмотрен спустя 3 месяца после манипуляции - по данным УЗИ общий желчный проток - 3,7 мм.

Абсолютным противопоказанием к проведению малоинвазнвных вмешательств является некорригируемое нарушение свертывающей системы крови. Накануне определяем показатели гемостазиограммы. При выявлении патологии со стороны свертывающей системы крови назначаем медикаментозную коррекцию. Через 1-2 недели повторяем гемостазиограмму. Относительными противопоказаниями является нарушение коагуляции (протромбиновое время более 3 секунд, несмотря на применение витамина K, время свертывания по Ли-Уайту более 10 минут), тромбоцитопения (менее 50000/µL), анемия (Hb<70г/л), перитонит. После пункции пациент находится под активным динамическим наблюдением от 3 до 4 часов, в течение которых наиболее вероятно проявление возможных осложнений (внутрибрюшное кровотечение, желчный перитонит). Спустя 4-5 часов после манипуляции проводим контрольное УЗИ для исключения внутрибрюшного кровотечения.

Метод применен у 5 больных. Диагностированы атрезия внепеченочных желчных ходов у 1, кистозное расширение общего желчного протока у 2 больных в возрасте от 2 месяцев и 3 лет, у 2 больных с длительной желтухой.

Основными хирургическими вмешательствами при кистозных расширениях внепеченочных желчных протоков являются: постоянное внутреннее дренирование (цистодигестивные анастомозы). Операцией выбора следует считать цистоеюноанастомоз по Ру или удаление кисты с наложением гепатикоеюноанастомоза по Ру с формированием антирефлюксного клапена.

Появление признаков холецистита или холангита в детском или юношеском возрасте может косвенно указывать на возможность аномалий в развитии желчевыводящей системы. При диагностике врожденных кистозных поражении желчных протоков у детей старшей возрастной группы следует учитывать, что кисты у них не бывают больших размеров и часто сочетаются с желчнокаменной болезнью и холецистопанкреатитом.

Современные методы исследования позволяют до операции уточнить характер поражения желчных путей и определить показания к их хирургическому лечению. Обследование следует начинать с УЗИ - как скрининг-метода, который дает возможостъ выявить значительное увеличение диаметра желчных протоков, а также признаки желчнокаменной болезни.

Окончательная верификация характера кистозного поражения желчных протоков проводится в ходе операции с помощью интраоперационной холангиографии, позволяющей выявить локальное или диффузное расширение внепеченочных и внутрипеченочных желчных протоков.

Предложенный и внедренный в практику новый комбинированный метод распознавания врожденной патологии желчевыводящей системы, включающий в себя применение лапароскопии, чрезкожной чрезпеченочной холецистохолангиографии в сочетании с рентгенологическим контролем является специфичным и высокоинформативным.
 

О журнале Архив Содержание