На главную страницу
На главную

 
 
О журнале Архив Содержание

(Новости лучевой диагностики 2000 1: 20-22)

Приоритеты использования метода компьютерной томографии в диагностике заболеваний органов грудной клетки.

Слапик С. С.1, Давидович Т. В.2

1Гомельский областной клинический онкологический диспансер, 2Гомельский медицинский институт.

В современной медицинской практике метод компьютерной томографии (КТ) достаточно широко применяется с целью диагностики заболеваний органов грудной клетки. Он имеет значительные преимущества перед обычными рентгеновскими методами исследования. Обладает высокой разрешающей способностью по контрастности: что позволяет четко визуализировать достаточно мелкие образования. Измерение величин ослабления иногда дает возможность оценить характер тканей (жидкость, жировая и т. д.). Применяя контраст можно получить изображения сосудистых структур. Метод КТ позволяет с большей степенью дос-товерности оценить распространение патологического процесса.

Однако, несмотря на все вышеперечисленные преимущества метод КТ, не должен применят-ся в качестве метода первичной диагностики заболеваний органов грудной клетки.

Наиболее часто назначение метода КТ требуют следующие ситуации:
- Решение вопроса о хирургическом вмешательстве на органах грудной клетки с целью опре-деления точной локализации, распространенности патологического процесса, степени вовлеченности окружающих структур. Применение КТ в данной ситуации позволяет уточнить целесообразность оперативного вмешательства, его способ и объем;
- Для выявления патологии со стороны плевры;
- Детальное исследование органов средостения и верхушек легких;
- В случаях, когда рентгенологически выявляют солитарный метастаз. Метод КТ назначается с целью выявления рентгеннегативных узлов;
- В случаях расхождения клинических данных и данных обычных рентгенологических исследований с целью выявления «скрытых» участков патологии со стороны легких и органов средостения;
- Для динамического контроля за патологическим очагом.

В подавляющем большинстве случаев диагностики заболеваний органов грудной клетки ограничиваются проведением того или иного объема традиционных рентгенологических методов исследования, так как рентгенологически органы грудной клетки обладают высокой степенью естественной контрастности. Необходимо также отметить, что обычные рентгеновские томограммы позволяют получить больше топографической информации о пространственной ориентации легочных структур, нежели поперечные срезы на КТ.

Учитывая, что сосуды и бронхи располагаются преимущественно в коронарной плоскости, при КТ требуется достаточно большое количество срезов для определения их анатомии. Определение проекции долей легких на поперечных томограммах при КТ затруднено тем, что в норме междолевые щели, как правило, не визуализируются и имеются трудности в определе-нии уровня исследования по позвонкам и особенно по ребрам. Поэтому долевое и сегментарное строение легких по аксиальным срезам можно представить, опираясь в основном на анатомические структуры, имеющие четкую визуализацию на КТ и достаточно стабильную топографию (рукоятка грудины, бифуркация трахеи, угол лопатки). На компьютерных томографах, оснащенных отображением топограммы, оценить расположение долей легких проще в связи с возможностью соотношения изображения на аксиальном срезе и обзорном снимке. Однако и этот уровень поперечного среза, указанный на топограмме является неточным, так как не принимаются в расчет неравномерность дыхания больного, движение стола, смещение больного и другие моменты.

Поперечные срезы, получаемые на КТ, позволяют анализировать средостение иначе, чем при обычном R-исследовании. Интерпретация томограмм требует знания анатомии средостения в продольных и поперечных проекциях, следует также учитывать варианты анатомического развития, возраст, конституциональные особенности пациента.

По условным линиям средостение подразделяется на переднее, среднее и заднее - в каждом из которых в свою очередь выделяют верхнее и нижнее средостения. Переднее средостение ограничено спереди телом грудины, сзади восходящей аортой. В переднем средостении располагаются вилочковая железа, загрудинные сосуды и л/узлы. Среднее средостение спереди ограничено передним краем перикарда, передней стенкой аорты и плечеголовных артерий и вен, сзади - задним краем трахеи и проксимальных бронхов. В среднем средостении располагаются сердце с сосудами и трахея с л/узлами. В состав заднего средостения входят ткани и структуры перикарда и трахеи, которые не вошли в среднее средостение, а также тела позвонков, спинной мозг и околопозвоночные структуры.

Видимость лимфатических узлов при КТ зависит от выраженности жировой клетчатки. Поэтому в претрахеальном пространстве позади верхней полой вены и на уровне непарной вены, кпереди от дуги аорты практически в 80-90 % случаях в норме определяются лимфатические узлы. Другие группы л/узлов не так четко дифференцируются. Для удобства в работе выделяют следующие группы л/узлов:

1) Передние медиастинальные лимфатические узлы:

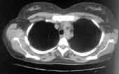
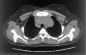
- Передние внутримаммарные л/узлы (Рис. 1), которые в норме не визуализируются, располагаются по ходу внутренней артерии молочной железы. Поражаются часто при раке молочной железы, реже при лимфогрануломатозе и лимфосаркоме.
 
Увеличить
 
Рис. 1. Передние внутримаммарные л/узлы.

- Верхние диафрагмальные лимфатические узлы сстоят из передней группы узлов, соединяющихся с нижними внутренними маммарными л/узлами, и боковых перикардиальных групп, расположенных в кардиодиафрагмальных синусах в проекции диафрагмального нервного пучка. Эта группа л/узлов может поражаться при опухолях грудной и брюшной стенок, редко при лимфоме.

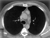
- Преваскулярные л/узлы (Рис. 2) лежат вокруг крупных сосудов средостения и подразделя-ются на правую (превенозную), левую (преартериальную) и среднюю цепочки узлов. Увеличение этой группы л/узлов наблюдается при MTS рака легкого, саркоидозе, лимфосаркоме. Размеры их могут быть различными: от мелких до крупных конгломератов.
 
Увеличить
 
Рис. 2. Преваскулярные л/узлы.

2) Средние медиастинальные лимфоузлы. Эти узлы связаны с трахеей и бронхиальным деревом и осуществляют дренаж легких, трахеи, бронхов, части пищевода и перикарда:

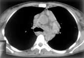
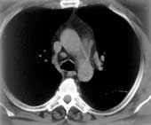
- Околотрахеальные лимфатические узлы (Рис. 4) располагаются вдоль боковых стенок трахеи и вокруг бифуркации. Наиболее крупный узел этой группы - так называемый непарный или нижний узел (Рис. 3). Он располагается около места слияния непарной и верхней полой вены и часто определяется при КТ в норме и присутствует у 50-90 % пациентов. Околотрахеальные л/узлы наиболее часто увеличиваются при различных патологических процессах, однако только при значительном увеличении их, при R-исследованиях отмечается расширение тени средостения вправо. Бифуркационные л/узлы (Рис. 5) так же диагностируются только на КТ. На рентгенограммах же даже значительное их увеличение может не опреде-ляться.
 
Рис. 3. Непарный л/узел.

 
Увеличить
 
Рис. 4. Околотрахеальные лимфатические узлы.

- Трахеобронхиальные лимфатические узлы (корня легкого) (Рис. 5) окружают главные бронхи и сосудистый пучок. Подразделяются на верхние, передние, нижние и задние. Нижние л/узлы располагаются вдоль пищевода и дренируют нижние отделы легких.
 
Увеличить
 
Рис. 5. Трахеобронхиальные и бифуркационные лимфатические узлы.

При раке органов грудной клетки наиболее часто поражаются л/узлы среднего средостения. Верхнегрудные л/узлы нередко поражаются при метастазах других опухолей. Средние л/узлы чаще поражаются при лимфомах, особенно лимфогрануломатозе. При саркоидозе, как правило, наблюдается двухстороннее поражение л/узлов области ворот легких.

3) Задние медиастинальные лимфоузлы:

- Околопищеводные и околоаортальные располагаются в нижней части среднего средостения. Они получают лимфу от пищевода, перикарда, диафрагмы, плевры и части нижних долей легких.

- Паравертебральные л/узлы подразделяются на превертебральные и латеровертебральные и дренируют заднюю грудную стенку, париетальную плевру и позвоночник. Часто поражаются при лимфомах, воспалительных процессах и метастазах. Для оценки размеров этой группы л/узлов КТ является наиболее чувствительным методом.

В норме л/узлы имеют овальную, округлую формы и видны у 90% пациентов, особенно в среднем средостении. Л/узлы размером менее 1 см считаются нормальными, хотя нельзя исключить их микроскопическую инвазию. Лимфатические узлы, превышающие эти размеры, считаются патологически измененными.
Высокая разрешающая способность КТ способствует раннему выявлению изменений л/узлов, которые сопровождаются их увеличением. Процессы, не вызывающие увеличения л/узлов, с помощью КТ не диагностируются. Причину увеличения л/узлов с помощью КТ установить сложно.

Основным критерием наличия метастазов в л/узлах являются их размеры. Диаметр узла более 1. 5 см свидетельствует о возможных метастазах. Однако и л/узлы нормального диаметра (до 1 см) могут содержать метастатические клетки. Увеличенные узлы могут быть обусловлены реактивной гиперплазией или лимфопролиферативным заболеванием, в связи с чем решение вопроса об отмене операции у таких больных требует гистологической верифика-ции изменений узлов. Поэтому следует признать, что КТ является дополнительным методом исследования к медиастиноскопии, которая показана при наличии мелких узлов.

Для лучшего разграничения сосудистых структур и л/узлов в отдельных случаях показано внутривенное контрастирование. Для более четкой дифференциации пищевода и узлов задней медиастинальной группы используется пероральное контрастирование или введение полиэтиленового катетера. Для л/узлов у больных туберкулезом после в/в усиления характерно появление зоны сниженной плотности в центре в отличие от лимфаденопатий иной этиологии. Следует отметить, что решающее значение в дифференциальной диагностике лимфаденопатий имеет только морфологическое исследование узла. Попытки разграничения их поражения по КТ-признакам, локализации, макроскопическим характеристикам даже в совокупности с клиническими данными имеют только предположительное значение.
 

О журнале Архив Содержание